Brain Abscess Aids .   nocardia is an important cause of brain abscess in the immunocompromised host.  cerebellar or brain stem abscesses are often indication for posterior fossa craniotomy due to the high risk of brain herniation.[3,25].   the diagnosis of brain abscess requires a high index of suspicion since it can have a subtle presentation.   the diagnostic approach to a patient with hiv/aids and a brain mass should be stepwise, considering host factors,. A brain abscess is a medical emergency that requires immediate attention. An abscess can also keep blood from flowing to parts of your brain.   clinical signs of increased intracranial pressure (eg, papilledema, cushing triad [hypertension, bradycardia, and irregular.  an abscess can cause your brain to swell, putting harmful pressure on brain tissue.   how is a brain abscess treated?
        
         
         
        from www.cureus.com 
     
        
         cerebellar or brain stem abscesses are often indication for posterior fossa craniotomy due to the high risk of brain herniation.[3,25].   clinical signs of increased intracranial pressure (eg, papilledema, cushing triad [hypertension, bradycardia, and irregular.   how is a brain abscess treated?   the diagnostic approach to a patient with hiv/aids and a brain mass should be stepwise, considering host factors,. A brain abscess is a medical emergency that requires immediate attention.   the diagnosis of brain abscess requires a high index of suspicion since it can have a subtle presentation.   nocardia is an important cause of brain abscess in the immunocompromised host. An abscess can also keep blood from flowing to parts of your brain.  an abscess can cause your brain to swell, putting harmful pressure on brain tissue.
    
    	
            
	
		 
	 
         
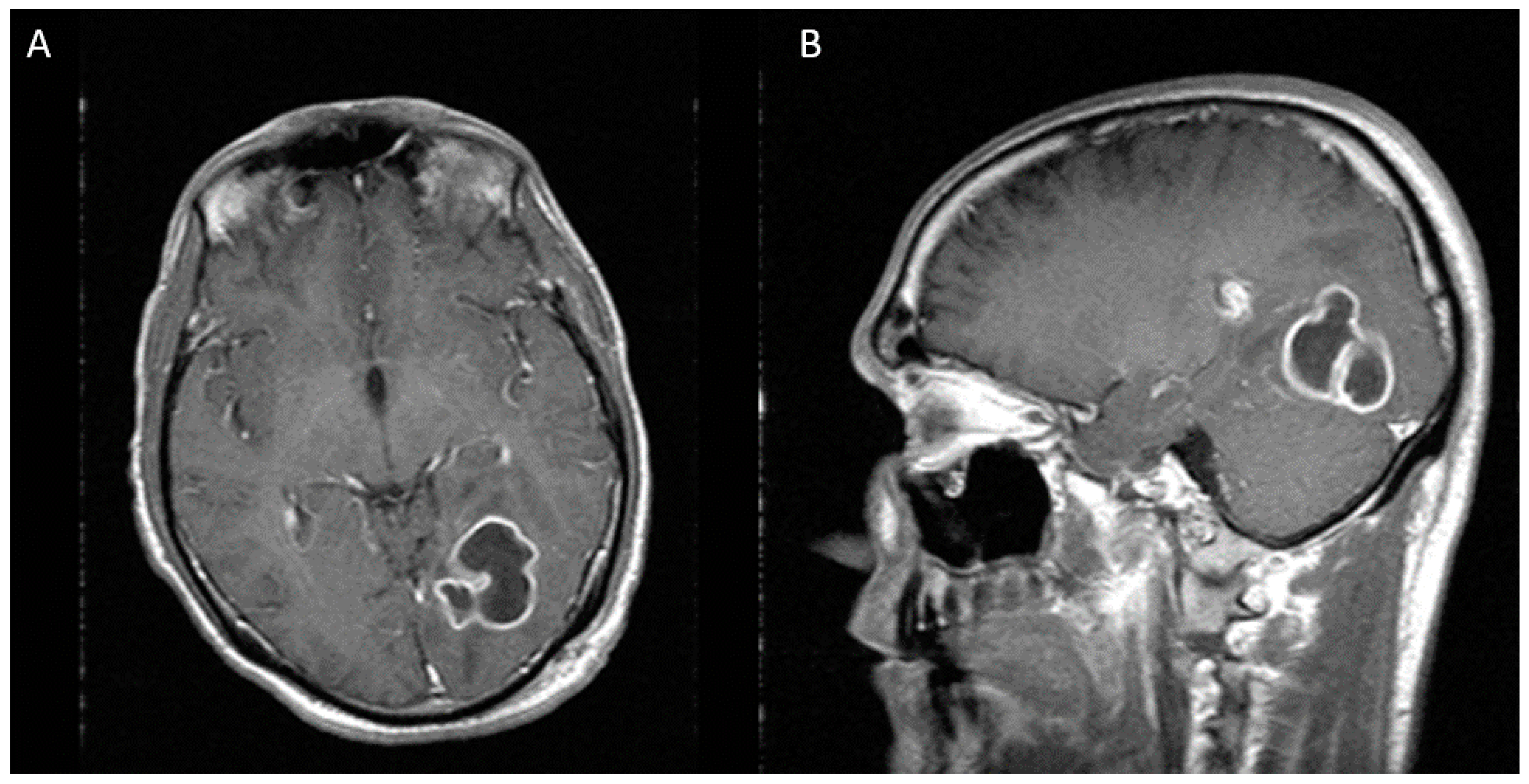
    Cureus Cerebral Abscess Due to Nocardia beijingensis Associated With HIV Case Report and Mini 
    Brain Abscess Aids  An abscess can also keep blood from flowing to parts of your brain.   nocardia is an important cause of brain abscess in the immunocompromised host.   the diagnosis of brain abscess requires a high index of suspicion since it can have a subtle presentation.   clinical signs of increased intracranial pressure (eg, papilledema, cushing triad [hypertension, bradycardia, and irregular. A brain abscess is a medical emergency that requires immediate attention.  an abscess can cause your brain to swell, putting harmful pressure on brain tissue.  cerebellar or brain stem abscesses are often indication for posterior fossa craniotomy due to the high risk of brain herniation.[3,25].   how is a brain abscess treated?   the diagnostic approach to a patient with hiv/aids and a brain mass should be stepwise, considering host factors,. An abscess can also keep blood from flowing to parts of your brain.
            
	
		 
	 
         
 
    
         
        From www.researchgate.net 
                    (PDF) Cladophialophora bantiana and Candida albicans mixed infection in cerebral abscess of an Brain Abscess Aids    clinical signs of increased intracranial pressure (eg, papilledema, cushing triad [hypertension, bradycardia, and irregular. A brain abscess is a medical emergency that requires immediate attention.   the diagnosis of brain abscess requires a high index of suspicion since it can have a subtle presentation.  cerebellar or brain stem abscesses are often indication for posterior fossa craniotomy due to. Brain Abscess Aids.
     
    
         
        From jcp.bmj.com 
                    Rhodococcus equi brain abscess in a patient without HIV Journal of Clinical Pathology Brain Abscess Aids    clinical signs of increased intracranial pressure (eg, papilledema, cushing triad [hypertension, bradycardia, and irregular.  an abscess can cause your brain to swell, putting harmful pressure on brain tissue.  cerebellar or brain stem abscesses are often indication for posterior fossa craniotomy due to the high risk of brain herniation.[3,25].   the diagnosis of brain abscess requires a high. Brain Abscess Aids.
     
    
         
        From jcp.bmj.com 
                    Rhodococcus equi brain abscess in a patient without HIV Journal of Clinical Pathology Brain Abscess Aids  An abscess can also keep blood from flowing to parts of your brain.   nocardia is an important cause of brain abscess in the immunocompromised host.   clinical signs of increased intracranial pressure (eg, papilledema, cushing triad [hypertension, bradycardia, and irregular.   the diagnostic approach to a patient with hiv/aids and a brain mass should be stepwise, considering host factors,.. Brain Abscess Aids.
     
    
         
        From mungfali.com 
                    Toxoplasmosis HIV Brain Abscess Aids    the diagnostic approach to a patient with hiv/aids and a brain mass should be stepwise, considering host factors,.   how is a brain abscess treated?   the diagnosis of brain abscess requires a high index of suspicion since it can have a subtle presentation.  an abscess can cause your brain to swell, putting harmful pressure on brain tissue.. Brain Abscess Aids.
     
    
         
        From www.semanticscholar.org 
                    Figure 1 from Fusobacterium nucleatum Multiple Brain Abscesses in an HIVinfected Patient Brain Abscess Aids    the diagnosis of brain abscess requires a high index of suspicion since it can have a subtle presentation. An abscess can also keep blood from flowing to parts of your brain.   how is a brain abscess treated?   the diagnostic approach to a patient with hiv/aids and a brain mass should be stepwise, considering host factors,.  an. Brain Abscess Aids.
     
    
         
        From www.istockphoto.com 
                    Foto de Abcesso Cerebral Causado Pelo Protozoário Parasita Toxoplasma Gondii e mais fotos de Brain Abscess Aids  An abscess can also keep blood from flowing to parts of your brain.   clinical signs of increased intracranial pressure (eg, papilledema, cushing triad [hypertension, bradycardia, and irregular. A brain abscess is a medical emergency that requires immediate attention.   the diagnosis of brain abscess requires a high index of suspicion since it can have a subtle presentation.  cerebellar. Brain Abscess Aids.
     
    
         
        From casereports.bmj.com 
                    Toxoplasmosis and tuberculosis brain lesions in HIV/AIDS differentiated by response to therapy Brain Abscess Aids    clinical signs of increased intracranial pressure (eg, papilledema, cushing triad [hypertension, bradycardia, and irregular. A brain abscess is a medical emergency that requires immediate attention.   how is a brain abscess treated?  cerebellar or brain stem abscesses are often indication for posterior fossa craniotomy due to the high risk of brain herniation.[3,25]. An abscess can also keep blood. Brain Abscess Aids.
     
    
         
        From www.cureus.com 
                    Cureus Cerebral Abscess Due to Nocardia beijingensis Associated With HIV Case Report and Mini Brain Abscess Aids  An abscess can also keep blood from flowing to parts of your brain.   how is a brain abscess treated?  cerebellar or brain stem abscesses are often indication for posterior fossa craniotomy due to the high risk of brain herniation.[3,25]. A brain abscess is a medical emergency that requires immediate attention.   nocardia is an important cause of brain. Brain Abscess Aids.
     
    
         
        From jptcp.com 
                    Cerebral abscesses imaging A practical approach Brain Abscess Aids  An abscess can also keep blood from flowing to parts of your brain.   how is a brain abscess treated? A brain abscess is a medical emergency that requires immediate attention.   the diagnostic approach to a patient with hiv/aids and a brain mass should be stepwise, considering host factors,.   nocardia is an important cause of brain abscess in. Brain Abscess Aids.
     
    
         
        From journals.sagepub.com 
                    HIVRelated Cerebral Toxoplasmosis Revisited Current Concepts and Controversies of an Old Brain Abscess Aids    clinical signs of increased intracranial pressure (eg, papilledema, cushing triad [hypertension, bradycardia, and irregular.  an abscess can cause your brain to swell, putting harmful pressure on brain tissue. A brain abscess is a medical emergency that requires immediate attention.   the diagnostic approach to a patient with hiv/aids and a brain mass should be stepwise, considering host factors,.. Brain Abscess Aids.
     
    
         
        From www.semanticscholar.org 
                    Figure 1 from Salmonella Meningitis Complicated by Ventriculitis and Brain Abscesses in an HIV Brain Abscess Aids   an abscess can cause your brain to swell, putting harmful pressure on brain tissue.  cerebellar or brain stem abscesses are often indication for posterior fossa craniotomy due to the high risk of brain herniation.[3,25]. An abscess can also keep blood from flowing to parts of your brain.   the diagnostic approach to a patient with hiv/aids and a. Brain Abscess Aids.
     
    
         
        From www.mdpi.com 
                    Diseases Free FullText Pyogenic Brain Abscess Caused by Peptostreptococcus in a Patient Brain Abscess Aids    the diagnostic approach to a patient with hiv/aids and a brain mass should be stepwise, considering host factors,.   clinical signs of increased intracranial pressure (eg, papilledema, cushing triad [hypertension, bradycardia, and irregular. An abscess can also keep blood from flowing to parts of your brain.   how is a brain abscess treated?  cerebellar or brain stem abscesses. Brain Abscess Aids.
     
    
         
        From www.mdpi.com 
                    Diseases Free FullText Pyogenic Brain Abscess Caused by Peptostreptococcus in a Patient Brain Abscess Aids    nocardia is an important cause of brain abscess in the immunocompromised host. An abscess can also keep blood from flowing to parts of your brain.   the diagnostic approach to a patient with hiv/aids and a brain mass should be stepwise, considering host factors,.   the diagnosis of brain abscess requires a high index of suspicion since it can. Brain Abscess Aids.
     
    
         
        From www.researchgate.net 
                    (PDF) Mycobacterium aviumintracellulare brain abscess in HIVpositive patient Brain Abscess Aids  An abscess can also keep blood from flowing to parts of your brain.  cerebellar or brain stem abscesses are often indication for posterior fossa craniotomy due to the high risk of brain herniation.[3,25].  an abscess can cause your brain to swell, putting harmful pressure on brain tissue.   the diagnostic approach to a patient with hiv/aids and a. Brain Abscess Aids.
     
    
         
        From www.dreamstime.com 
                    Brain Abscess Caused by Parasitic Protozoan Toxoplasma Gondii Stock Illustration Illustration Brain Abscess Aids   cerebellar or brain stem abscesses are often indication for posterior fossa craniotomy due to the high risk of brain herniation.[3,25].   how is a brain abscess treated?   nocardia is an important cause of brain abscess in the immunocompromised host.   clinical signs of increased intracranial pressure (eg, papilledema, cushing triad [hypertension, bradycardia, and irregular. A brain abscess is. Brain Abscess Aids.
     
    
         
        From www.bmj.com 
                    Cerebral mass in HIV infection The BMJ Brain Abscess Aids  An abscess can also keep blood from flowing to parts of your brain.   how is a brain abscess treated?  cerebellar or brain stem abscesses are often indication for posterior fossa craniotomy due to the high risk of brain herniation.[3,25].   nocardia is an important cause of brain abscess in the immunocompromised host.   clinical signs of increased intracranial. Brain Abscess Aids.
     
    
         
        From www.researchgate.net 
                    (PDF) Cerebral Abscess Due to Nocardia beijingensis Associated With HIV Case Report and Mini Review Brain Abscess Aids    the diagnosis of brain abscess requires a high index of suspicion since it can have a subtle presentation.   how is a brain abscess treated?   clinical signs of increased intracranial pressure (eg, papilledema, cushing triad [hypertension, bradycardia, and irregular.   the diagnostic approach to a patient with hiv/aids and a brain mass should be stepwise, considering host factors,.. Brain Abscess Aids.
     
    
         
        From www.slideserve.com 
                    PPT HIV Neurology PowerPoint Presentation ID434543 Brain Abscess Aids  A brain abscess is a medical emergency that requires immediate attention.   clinical signs of increased intracranial pressure (eg, papilledema, cushing triad [hypertension, bradycardia, and irregular.   how is a brain abscess treated?  an abscess can cause your brain to swell, putting harmful pressure on brain tissue.   the diagnostic approach to a patient with hiv/aids and a brain. Brain Abscess Aids.